وش أسوي: التهاب السحايا صحة وش أسوي: التهاب السحايا نظرة عامة التهاب السحايا هو التهاب الأغشية (السحايا) المحيطة بالدماغ والحبل الشوكي. يحفز... 0 وش أسوي: الفحص بالتصوير المقطعي المحوسب صحة وش أسوي: الفحص بالتصوير المقطعي المحوسب تجمع أشعة الفحص بالتصوير المقطعي المحوسب (CT)، سلسلة من صور الأشعة السينية... 0 وش أسوي: ابيضاض دم مشعر الخلايا صحة وش أسوي: ابيضاض دم مشعر الخلايا سرطان الدم المشعر الخلايا هو نوع نادر بطيء النمو من سرطان الدم حيث يقوم نخاع العظم... 0 وش أسوي: العلاج البيولوجي للسرطان صحة وش أسوي: العلاج البيولوجي للسرطان نظرة عامة يُعد العلاج البيولوجي للسرطان نوعًا من العلاج الذي يستخدم الجهاز... 0 وش أسوي: ابيضاض الدم النقوي المزمن صحة وش أسوي: ابيضاض الدم النقوي المزمن نظرة عامة ابيضاض الدم النقوي المزمن (CLL) هو نوع غير شائع من سرطانات نخاع العظم... 0 وش أسوي: اضطرابات الاكل صحة وش أسوي: اضطرابات الاكل نظرة عامة اضطرابات الأكل عبارة عن حالات خطيرة ترتبط بسلوكيات الأكل المستمرة، والتي تُؤثِّر... 0 وش أسوي: الانسداد المعوي صحة وش أسوي: الانسداد المعوي إن انسداد الأمعاء هو عبارة عن انسداد يمنع الطعام أو السوائل من المرور عبر الأمعاء الدقيقة... 0 وش أسوي: التغذية المعوية بالمنزل صحة وش أسوي: التغذية المعوية بالمنزل نظرة عامة التغذية المعوية، والمعروفة أيضًا باسم التغذية الأنبوبية، هي وسيلة... 0 وش أسوي: التليف الكيسي صحة وش أسوي: التليف الكيسي التليُّف الكيسي (CF) هو اضطراب وراثي يُسبب تلفًا شديدًا في الرئتين والجهاز الهضمي والأعضاء... 0 الصفحة 27 من 67« الأولى«...1020...2526272829...405060...»الأخيرة » فئات المقالاتفئات المقالات اختر التصنيف اجتماعيات اكسس بارز الجمال و الاناقة تقنيات رياضة صحة عام قانون قهوة الشايب مقالات قصيرة موسم الرياض أحدث الأسئلةلم يتم العثور على مشاركات
وش أسوي: التهاب السحايا صحة وش أسوي: التهاب السحايا نظرة عامة التهاب السحايا هو التهاب الأغشية (السحايا) المحيطة بالدماغ والحبل الشوكي. يحفز... 0
وش أسوي: الفحص بالتصوير المقطعي المحوسب صحة وش أسوي: الفحص بالتصوير المقطعي المحوسب تجمع أشعة الفحص بالتصوير المقطعي المحوسب (CT)، سلسلة من صور الأشعة السينية... 0
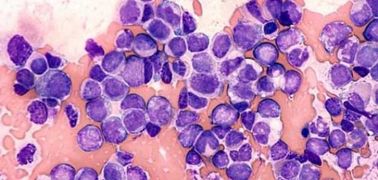
وش أسوي: ابيضاض دم مشعر الخلايا صحة وش أسوي: ابيضاض دم مشعر الخلايا سرطان الدم المشعر الخلايا هو نوع نادر بطيء النمو من سرطان الدم حيث يقوم نخاع العظم... 0
وش أسوي: العلاج البيولوجي للسرطان صحة وش أسوي: العلاج البيولوجي للسرطان نظرة عامة يُعد العلاج البيولوجي للسرطان نوعًا من العلاج الذي يستخدم الجهاز... 0
وش أسوي: ابيضاض الدم النقوي المزمن صحة وش أسوي: ابيضاض الدم النقوي المزمن نظرة عامة ابيضاض الدم النقوي المزمن (CLL) هو نوع غير شائع من سرطانات نخاع العظم... 0
وش أسوي: اضطرابات الاكل صحة وش أسوي: اضطرابات الاكل نظرة عامة اضطرابات الأكل عبارة عن حالات خطيرة ترتبط بسلوكيات الأكل المستمرة، والتي تُؤثِّر... 0
وش أسوي: الانسداد المعوي صحة وش أسوي: الانسداد المعوي إن انسداد الأمعاء هو عبارة عن انسداد يمنع الطعام أو السوائل من المرور عبر الأمعاء الدقيقة... 0
وش أسوي: التغذية المعوية بالمنزل صحة وش أسوي: التغذية المعوية بالمنزل نظرة عامة التغذية المعوية، والمعروفة أيضًا باسم التغذية الأنبوبية، هي وسيلة... 0
وش أسوي: التليف الكيسي صحة وش أسوي: التليف الكيسي التليُّف الكيسي (CF) هو اضطراب وراثي يُسبب تلفًا شديدًا في الرئتين والجهاز الهضمي والأعضاء... 0